
術中MRIシステム
本システムは全国赤十字病院で初めて導入された高度医療装置です。
神経膠腫(glioma)の治療では摘出術でなるべく多く摘出した方が、再発率が低く生命予後も良いことが知られています。
しかし、神経膠腫は正常な脳との境界がわかりにくい悪性脳腫瘍で、無理に摘出しようとすれば、後遺症のおそれがあります。逆に腫瘍を残しすぎれば、生存率が低下してしまいます。
術中MRIシステムは、ナビゲーションシステムと併用し、手術中にMRIを撮像することで、リアルタイムに正確な位置情報や機能情報を得ることができます。これにより以下の利点があります。
• 腫瘍摘出の程度を正確に判断できる
• 運動機能・言語機能等、重要な機能を温存可能
• 予期せぬ合併症をいち早く検出する
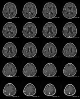
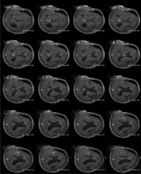
![]() 術前MRI
|
![]() 術中MRI
|
■当院のシステム
手術室とMRI検査室が、ドアで仕切られた分離型システムを採用しています。
これにより、手術中MRI検査の無い時は、通常のMRI検査室として使用できます。普段は主に、入院患者さんや緊急検査に使用しています。
また、両室を明確に分離したことにより、手術器材は従来と同様にMRI非対応の物が使用できます。
MRI装置は、1.5テスラの高磁場装置で、高精度の画像が提供できる反面、磁場の安全管理が重要になります。
関連スタッフ全てにMRIの安全講習を受けていただく、手術機材をリスト化しMR検査室移動前に複数名で2回チェックするなどの安全対策を行っています。







