MRI装置
病院1階のMRI検査室には2台のMRI装置があり、主に外来患者さんの検査に使用しています。1台は磁場強度が3テスラの高磁場装置を導入していますが、2024年3月に装置の更新を行いました。
最新型MRI装置の特徴は次の通りです。
・患者さんの負担軽減
・画像クオリティの向上
・ワークフローとスループットの向上
まず装置のトンネル径(ボア直径)が60cmから70cmに広がりました。また室内、トンネル内ともに照明を明るくし、閉塞感を感じにくい設計に改善を行いました。また全検査、ヘッドホンからの音楽を聴きながらの検査が可能です。ご希望の方はご相談ください。
画像は最新技術のディープラーニング画像再構成技術AIR Recon DLにより、高画質になりました。また患者さんの体動や呼吸、金属インプラント等によるアーチファクト低減なども行えます。
本装置に搭載された最新のAI機能によるワークフローの向上、圧縮センシング技術(少ないデータサンプリングから画像を再構成する)を応用した技術(HyperSense)などを活用することで検査時間の短縮を実現しました。

GEヘルスケア・ジャパン社製Signa HERO 3T(高磁場装置)

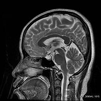
AIR Recon DL画像の一例


GEヘルスケア・ジャパン社製Optima
手術室内にも1台のMRI装置が設置されており、2025年1月に装置の更新を行いました。脳腫瘍手術の際に腫瘍切除の度合いを確認し、より精度が高く安全な手術を行うために利用されています。
また、手術で使用されない時は、主に入院患者さんや外来患者さんの検査に使用しています。

手術室内MRI装置
(GEヘルスケア・ジャパン社製Signa Artist EVO 1.5T)

手術室のドアを開けたところ
MRI検査とは
MRIとはMagnetic Resonance Imaging(磁気共鳴画像)の略で,強力な磁気とラジオ放送で使用される電波を利用して,体の臓器や血管を撮影する検査です。

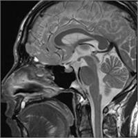
脳

手根骨

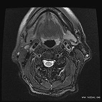
頚動脈プラーク

頚動脈プラーク
MRI検査を受けるにあたっての注意事項
次のような金属部品を装着されている方は検査を受けることができません。
1. 心臓ペースメーカー(検査対応可能なペースメーカーもあります)
2. 人工内耳・人工中耳の方
3. MRI非対応の脳動脈クリップ
4. 目など決定臓器に位置する弾丸・金属片
5. カラーコンタクトレンズ・ファッションコンタクトレンズ
6. ニトロダーム
*ただし、安全に検査が行えても、十分な結果が得られないことがあります。

義歯による画像の乱れ
MRI検査室内に持ち込めないもの
| 金属類 | メガネ、ヘアピン、アクセサリー(ネックレス、ピアス、イアリング指輪、ブレスレットなど)、ライター、鍵、ボールペン、使い捨てカイロ(鉄粉) |
| 取り外し可能な入れ歯、金属の留め金のついたかつら | |
| 金属が着いた衣類など | 金属がついているブラジャーやスリップ、金属製のボタンのついた衣類、金具がついたスカート・ズボンベルト |
| 金属の顔料使用 | 化粧品の一部(マスカラ、アイライン、アイブロウ、アイシャドウなど) |
| 磁気を帯びているもの | キャッシュカード、テレフォンカード、クレジットカード、プリペイドカード、銀行預金通帳、鉄道の乗車券、定期券、エレキバン |
| 電子機器 | 時計、計算機、補聴器、ポケベル、携帯電話 |
検査中の注意事項
1. 検査時間は検査室に入ってから出るまで概ね20分~40分です。
(検査部位・条件により異なります)
2. 検査中は寝ているだけです。 (出来るだけ体を動かさないでください)
3. 検査中に気分不快などの異常を感じた場合には、ためらわずに連絡ブザーを押してお知らせください。 (検査中には検査室のスタッフとマイクを通して会話ができます)
4. 検査中は工事現場のような様々な機械音がします。ヘッドホンや耳栓を使用していただきます。
また、途中で音が変わっても故障ではありませんのでご安心ください。

造影剤を用いた乳房検査

造影剤を用いた乳房検査

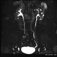
造影剤を使用しない尿路検査

造影剤を使用しない腹部血管検査





