腎臓で産生された尿は腎盂に排泄され、尿管を通って膀胱にはこばれます。膀胱に一定量の尿がたまると尿意を感じ尿道より排出されます。この尿の通過路である尿路は亀頭の先端部の尿道以外全て移行上皮という組織でできています。
尿路(腎盂、尿管、膀胱、尿道)に発生する癌です。最も発生頻度の高いのは膀胱癌で、泌尿器科系悪性腫瘍の中では、前立腺癌に次いで多い癌です。 組織型は移行上皮癌が約95%で、しばしば多発し、再発を繰り返すのが特徴です。上部尿路(腎盂、尿管)に癌がある場合、その約30%で膀胱癌が発見され、逆に膀胱癌の5%以下で上部尿路の癌が発見されることがあります。 そのため尿路上皮癌は尿路全ての検査が必要となります。細胞の異型度(悪性度)と癌の深達度は予後との関連性が強く、治療方針決定の上で重要です。転移部位として、骨盤内リンパ節、肺、骨などがあります。
膀胱癌には以下の3つのタイプがあります。
筋層非浸潤性膀胱癌:腫瘍が粘膜にとどまり筋層には達しないものです。
筋層浸潤性膀胱癌:膀胱壁の深部へ浸潤し筋層にまで達するものです。
上皮内癌:上皮内に広がる癌です。悪性度が高く浸潤癌へと変化します。
①罹患率
50歳以上の人に多くみられる疾患です。発生頻度は人口10万人あたり18.5人程度といわれています。男女比は4:1で、男性に多い傾向があります。
②生存率
5年生存率は、筋層非浸潤性膀胱癌であれば90%以上、筋層浸潤性膀胱癌の場合、膀胱全摘出術後で約50%、転移を認める場合20-45%と報告は様々です。
③危険因子
膀胱癌の原因は、染料や化学薬品の一部のものに膀胱癌の発癌作用が認められています。また喫煙が最も重要な危険因子といわれていますが大部分は原因不明です。
初発症状として最も多いのが無症候性血尿です(痛みなどの症状がない血尿)。その他頻尿などの膀胱刺激症状や排尿障害が見られることもあります。
①検尿(尿沈渣)
肉眼的にはわからなくても、顕微鏡で赤血球が検出されることがあります(顕微鏡的血尿)。
②超音波検査
膀胱内に腫瘍がある場合5mmくらいのものから検出できることがあります。
③内視鏡(膀胱鏡)検査
診断には不可欠な検査です。腫瘍が認められた場合、組織型、異型度診断のために生検(腫瘍の一部分を採集)を行うことがあります。
④尿細胞診
明らかな隆起を伴わない膀胱癌(上皮内癌)および、上部尿路の癌の検索に有用です。
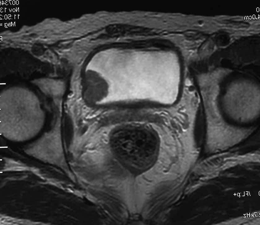
⑤CT、MRI
腫瘍の浸潤度や、リンパ節、遠隔転移の有無につき検査します。
⑥骨シンチ
骨転移の有無の判定に用います。
| T: | 原発腫瘍の壁内深達度 |
| T0: | 腫瘍なし |
| Tis: | 上皮内癌 |
| Ta: | 浸潤なし |
| T1: | 粘膜下結合組織までの浸潤 |
| T2: | 筋層浸潤があるもの |
| T2a: | 筋層半ばまでの浸潤 |
| T2b: | 筋層半ばを越えるもの |
| T3: | 膀胱周囲脂肪織への浸潤があるもの |
| T3a: | 顕微鏡的浸潤 |
| T3b: | 肉眼的(壁外に腫瘤があるもの) |
| T4: | 腫瘍が周囲臓器に浸潤するもの |
| T4a: | 前立腺、子宮あるいは膣への浸潤 |
| T4b: | 骨盤壁あるいは腹壁への浸潤 |
| Tx: | 原発腫瘍の評価が不可能 |

| N : | 所属リンパ節(総腸骨動脈分岐部以下の小骨盤腔リンパ節)への転移の状態 |
| N0: | 所属リンパ節転移なし |
| N1: | 小骨盤内の1個の所属リンパ節転移 |
| N2: | 小骨盤内の多発性リンパ節転移 |
| N3: | 総腸骨リンパ節転移 |
| Nx: | 所属リンパ節の評価が不可能 |
| M: | 遠隔転移の状態 |
| M0: | 遠隔転移なし |
| M1: | 遠隔転移あり |
| Mx: | 遠隔転移の有無不詳 |
筋層に達していない筋層非浸潤性膀胱癌では内視鏡的に腫瘍を切除する経尿道的膀胱腫瘍切除術(TUR-Bt)が行われ、筋層浸潤性膀胱癌の場合、原則的には膀胱全摘出術の適応となります。 この場合尿路変向が必要となります。診断時すでに転移のある場合や、術後再発、転移が出現してきた場合、抗癌剤治療が中心となります。 これらはあくまで原則であり、当科にては個々の状態、事情なども考慮し、膀胱温存療法などのオプションも提示しながら患者さんに適切な治療法を行っています。
①手術
・経尿道的膀胱腫瘍切除術(TUR-Bt):筋層非浸潤性膀胱癌の場合適応となります。
・膀胱全摘出術+尿路変向術:筋層浸潤性膀胱癌の場合適応となります。
尿路変向術には、尿管皮膚瘻(尿管を直接体外に導く)、回腸導管(回腸を一部遊離し、尿管を一方に縫合し、他方は体外に導く)、回腸新膀胱(腸管で代用膀胱を作成し尿管、尿道と吻合する自排尿型)の3つの方法があります。
膀胱全摘除術は浸襲の大きな手術ですが、当科では膀胱全摘除術を比較的低侵襲な腹腔鏡下に行っています。
②化学療法(抗癌剤治療)
診断時転移がある場合や術後遠隔転移が出現してきた場合に適応となります。また膀胱全摘出術前後の補助療法として行うこともあります。 抗癌剤にはGC(ゲムシタビン、シスプラチン)療法、MAVC(メソトレキセート、ビンブラスチン、ドキソルビシン、シスプラチン)療法、GCa(ゲムシタビン、カルボプラチン)療法などがあり、さらに癌免疫療法として、ペムブロリズマブや新規抗癌剤としてエンフォルツマブベトチンが使用されます。
③膀胱内注入療法
主に経尿道的膀胱腫瘍切除術後の再発予防を目的に、術後膀胱持続洗浄を行っています。上皮内癌や再発を繰り返す症例にはBCG膀胱内注入療法も行っています。
④放射線療法
骨など転移巣に対してや、筋層浸潤性膀胱癌で膀胱温存目的に対する集学的治療の一環として行われることがあります。
当院における手術件数はホームページ、各科診療案内の泌尿器科に記載しておりますのでご参照ください。
①罹患率
発生頻度は、人口10万人あたり0.5人程度で泌尿器科の癌の中でも比較的まれです。男性に多い傾向があります。
②生存率
一般的に予後は不良といわれています。 5年生存率は、pTa-1、pT2、pT3、pT4でそれぞれ、92.1-97.8%、74.7-84.1%、54.0-56.3%、0-12.2%との報告があります。
③危険因子
膀胱癌と同様に喫煙が最も重要な危険因子としてあげられています。
最も多いのが膀胱癌同様、無症候性肉眼的血尿です。時に腫瘍による尿の通過障害をおこして腎盂・腎杯、尿管の拡張(水腎症、水尿管症)をきたし、腰や背中の痛みが起こることがあります。
①検尿(尿沈渣)
肉眼的にはわからなくても、顕微鏡的に赤血球が検出されることがあります(顕微鏡的血尿)
②超音波検査
腎盂内の腫瘍や水腎症の有無を確認します。
③逆行性性腎盂・尿管造影
膀胱鏡下にカテーテルを腎盂まで挿入し造影検査をしたり、細胞診の検査のために腎盂内の尿を採集します。

④内視鏡検査(腎盂尿管ファイバー)
直接腎盂尿管内を観察し、生検による組織検査を行います。
⑤造影CT
腫瘍有無、転移検索など行え、有用な検査です。
| T: | 原発腫瘍の壁内深達度 |
| T0: | 腫瘍なし |
| Ta: | 乳頭状非浸潤癌 |
| Tis: | 上皮内癌 |
| T1: | 上皮下結合組織までの浸潤 |
| T2: | 筋層に浸潤 |
| T3: | 筋層をこえて周囲脂肪織または腎実質に浸潤 |
| T4: | 隣接臓器まで浸潤 |
| Tx: | 原発腫瘍の評価がされていない |
| N: | 所属リンパ節(腎門部、傍大動脈または盤腔内リンパ節)への転移の状態 |
| N0: | 所属リンパ節転移なし |
| N1: | 2cm以下の1個の所属リンパ節転移 |
| N2: | 2cm をこえ5cm以下の1個の所属リンパ節転移、または5cm以下の多数個の所属リンパ節転移 |
| N3: | 5cmをこえる所属リンパ節転移 |
| Nx: | 所属リンパ節の評価が不可能 |
| M: | 遠隔転移の状態 |
| M0: | 遠隔転移なし |
| M1: | 遠隔転移あり |
| Mx: | 遠隔転移の有無不詳 |
転移がない場合、外科的手術が主体となります。癌の部位だけ切除し、腎や尿管を残すと、残された腎盂や尿管に発生することがあるため、患側の腎、尿管および膀胱の一部を摘出するのが一般的です。 当科では腎臓の遊離は主に鏡視下手術(後腹膜鏡下)で行っています。診断時すでに転移のある場合や、術後再発、転移が出現してきた場合、抗癌剤治療が中心となります。
①手術
腎尿管全摘術(ほとんど鏡視下手術)+膀胱部分切除術が標準的手術です。
②化学療法(抗癌剤治療)
診断時転移がある場合や術後遠隔転移が出現してきた場合に適応となります。また手術前後の補助療法として行うこともあります。 抗癌剤にはGC(ゲムシタビン、シスプラチン)療法、MAVC(メソトレキセート、ビンブラスチン、ドキソルビシン、シスプラチン)療法、GCa(ゲムシタビン、カルボプラチン)療法などがあり、癌免疫療法として、ペムブロリズマブ、ニボルマブ(術後補助療法)が新規抗癌剤として、エンホルツマブ、ベトチンが使用されます。
③放射線療法
骨など転移巣に対して症状緩和などの目的や、化学療法と併用し集学的治療の一環として行われることがあります。
当院における手術件数はホームページ、各科診療案内の泌尿器科に記載しておりますのでご参照ください。
| Q: | 血尿が出たことはないのですが健診で潜血があると言われましたが・・・ |
| A: | 肉眼的血尿がなくても顕微鏡で血尿が認められ、尿路上皮癌が発見されることがあります。 泌尿器科専門医を受診して検査を受けることをお勧めします。 |
| Q: | 血尿が出てびっくりしましたが別にどこも痛くなかったので放置してます、そういえば半年前にも一回血尿が出ましたが・・・ |
| A: | 尿路上皮癌、特に膀胱癌の主訴として最も多い症状です。 早期に見つかれば内視鏡手術ですみ、予後も非常にいいです。 このようなときはすぐ泌尿器科専門医を受診して検査を受けることをお勧めします。 |
| Q: | 浸潤性膀胱癌と診断され、膀胱全摘出術を勧められましたが・・・ |
| A: | 膀胱全摘出術は侵襲の大きな手術で、尿路変向を余儀なくされるためなかなか踏み切れないのが現状です。 個々の状態にもよりますが、抗癌剤と内視鏡手術(放射線療法併用)で膀胱温存を試みるなどのオプションもあります。 ただ膀胱全摘出術を回避したために根治できるタイミングを逃してしまい、生命予後に関わることもあるため、泌尿器科専門医と十分に相談して治療法を決定することが大切です。 |





















