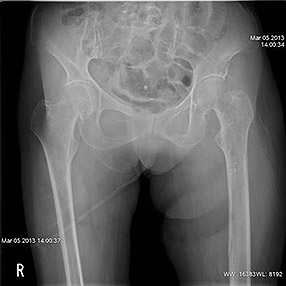
![]() 骨折部分がわかりにくいX線写真
|
同部位のトモシンセシス(断層)画像
|
高齢者の股関節は骨粗鬆等により骨折していても単純X線写真では判断しづらい場合があります。
そのような場合、今まではCT室に患者を移してCT検査を行う必要がありましたが、この撮影装置は
単純X線撮影を行った後そのままトモシンセシス(断層)撮影を行えます。
このようにX線撮影室で断層画像を作成できるようになり、救急患者さんの診断に大変役立っています。
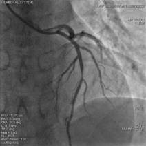
![]() 冠動脈狭窄
|
ステント挿入後
|
![]() 中大脳動脈閉塞
|
血栓除去術後(血流再開後)
|
急性の心筋梗塞・くも膜下出血・脳梗塞・動脈出血などに対応するアンギオ装置です。
24時間いつでも対応しております。








