がんの早期発見
救急医療
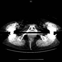
4次元CT撮影 ~ボリューム へリカル シャトル( Volume Helical Shuttle : VHS)~
![]() ![]() |
VHSは、CT検査の寝台(テーブル)がノンストップで連続往復しながら撮影し、経時的なデータを収集していく新しいテクノロジーです。
Volume Helical Shuttle(以下VHS)によるCT撮影は、テーブルスピードが安定するまで の加速時ならびにテーブルが停止するまでの 減速時のデータも画像化できるため、無駄な被ばくを軽減するだけでなく、4D画像の時間 分解能が向上し、30cm以上の広範囲における4D画像も容易に得ることが可能です。
また、4次元撮影や機能診断は撮影回数が従来に比べ増加するため、被ばく増加が大きな壁となり、撮影することは困難でしたが、逐次近似法を用いたノイズ低減処理技術を使用することにより、被ばくを大幅に削減できます。
ガーネットを用いた『Gemstone™』検出器を搭載した最新鋭のCT装置
![]() ![]() ![]() ![]() |
Discovery CT750HD(CT750HD)では、新しい検出器素材として人工ガーネットを用いた「Gemstone™」を採用されています。このGemstone™は、X線に対する発光効率、変換速度ならびに減衰速度、残光特性が従来のものと比較して、飛躍的に性能が向上しています
X線を検出するために、ガドリニウムオキシサルファイド=GOS(固体シンチレーターの材料)が使用され、X線撮影(増感紙)やX線透視(X線テレビ)等のX線検出装置に利用されてきました。しかしながら、近年CTスキャナーに求められる高空間分解能の向上を更に進めるためには、既存の素材では今まで以上の発光効率、変換速度ならびに減衰速度、残光特性を得ることには限界がありました。
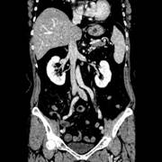
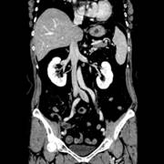
Gemstone Spectral Imaging ~Dual Energy Scanning~
スペクトラルCTイメージングはX 線による物質固有のX線減弱係数を利用し、異なるエネルギー値をそれぞれ透過させた際の差を利用することにより、対象領域の素材密度、組織の特性をイメージングすることができます。GE製MDCT Discovery CT750 HD に搭載されている“Gemstone Spectral Imaging(GSI)” は、初めてスペクトラルCTイメージングを臨床で使用可能にした機能です。
さらにその結果として、逆に物質のX線減弱係数に比例した加重加算を行うことにより、ビームハードニングの影響を取り除いた正確なCT値を有する画像を作成することができます。
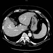
![]() 通常CT |
Gemstone Spectral Imaging
|
スペクトラルCTイメージングを行う際には2つの異なるエネルギー、低エネルギーと高エネルギーでの撮影データが必要となります。また、データを収集する際には2つのデータ間にエネルギー以外の差異、すなわち位置ずれやタイミングのずれがないことが大前提となります。さらには、ビームハードニングアーチファクトの補正が間違いなく出来ていることも非常に重要な要素となります。
逐次近似法を用いたノイズ低減処理をすべてのCT装置に搭載し、低被曝で高画質な検査
![]() ASiR なし
|
ASiR 100%
|
逐次近似法を用いたノイズ低減処理(GE製の場合はASiR:Adaptive Statistical Iterative Reconstructionという名称)とは、システム統計モデルに加えて、解剖学的構造も考慮した、新しい画像再構成法です。この手法は、空間分解能に影響を与えることなく、画像ノイズを削減する画像再構成アルゴリズムで、画質の向上、被ばくの低減を実現できます。
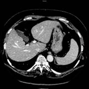
![]() 通常CT
|
Gemstone Spectral Imaging
|
スペクトラルCTイメージングを行う際には2つの異なるエネルギー、低エネルギーと高エネルギーでの撮影データが必要となります。また、データを収集する際には2つのデータ間にエネルギー以外の差異、すなわち位置ずれやタイミングのずれがないことが大前提となります。さらには、ビームハードニングアーチファクトの補正が間違いなく出来ていることも非常に重要な要素となります。














